Τα ορθοδοντικά προβλήματα είναι πολυπαραγοντικά και ποικίλα. Δεν επηρεάζουν μόνο την αισθητική αλλά έχουν αρνητικές συνέπειες στη λειτουργία της μάσησης, μπορούν να προκαλέσουν δυσανάλογη φθορά των δοντιών, να οδηγήσουν σε βλάβες των ούλων ή και να αυξήσουν των κίνδυνο εμφάνισης τερηδόνας. Σε άλλες περιπτώσεις είναι δυνατόν να εμφανιστεί δυσκολία στην ομιλία, δυσλειτουργία μαλακών ιστών ή και διαταραχές της κροταφογναθικής άρθρωσης

Με την ορθοδοντική θεραπεία επιτυγχάνονται τα εξής:
Όταν ο διαθέσιμος χώρος δεν επαρκεί για τη διευθέτηση όλων των δοντιών σε ένα αρμονικό τόξο
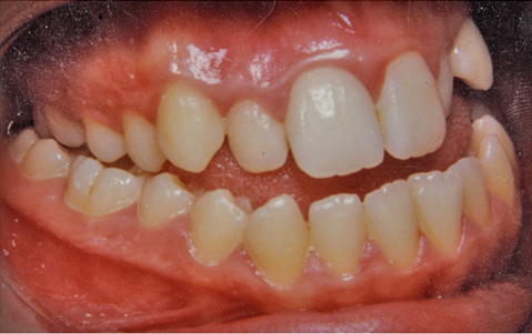
Tα άνω πρόσθια δόντια εξέχουν προς τα εμπρός πιο πολύ από τα κάτω πρόσθια
Τα κάτω πρόσθια δόντια εξέχουν προς τα εμπρός πιο πολύ από τα άνω πρόσθια.
Τα άνω πρόσθια δόντια υπερκαλύπτουν σε κατακόρυφη έννοια τα κάτω πρόσθια δόντια τα οποία δεν φαίνονται καθόλου στο στόμα, ή τα κάτω πρόσθια δόντια ανατέλλουν τόσο ώστε αντί να στηρίζονται στα επάνω δόντια, στηρίζονται στον ουρανίσκο.
Ανοιχτή δήξη όπου τα άνω και κάτω πρόσθια δόντια δεν έχουν επαφές.
Προκύπτει όταν κάποια δόντια λόγω έλλειψης χώρου ή λάθος θέσης στο οστό δεν μπορούν να ανατείλουν.

Ασθενείς που επί πολλά χρόνια δεν έχουν αντικαταστήσει χαμένα δόντια, παρουσιάζουν συχνότατα μετακίνηση των άλλων δοντιών δίπλα από τα κενά, με αποτέλεσμα να μην είναι δυνατή η πραγματοποίηση οποιασδήποτε προσθετικής εργασίας (γέφυρας, μερικής οδοντοστοιχίας, εμφυτεύματος).

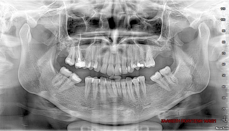
Η περιοδοντική νόσος προκαλεί μετακινήσεις δοντιών καθώς το κόκαλο που τα υποστηρίζει υποχωρεί σταδιακά. Έτσι τα δόντια εμφανίζουν διαστήματα μεταξύ τους ή/και περιστρέφονται.

Η συνεργασία ορθοδοντικού και γναθοχειρουργού είναι απαραίτητη στην περίπτωση ενηλίκων ασθενών με έντονη σκελετική ανωμαλία.
Δείτε φωτογραφίες ασθενών μας πριν και μετά τις θεραπείες τους για καθένα από τα παραπάνω προβλήματα.
Κάθε περίπτωση ασθενούς είναι μοναδική. Για την βέλτιστη αντιμετώπιση του ορθοδοντικού σας προβλήματος, επικοινωνήστε μαζί μας για ένα ραντεβού πρώτης εξέτασης.
© Zarbi Orthodontics 2023. All Rights Reserved
